Appointments: (714) 957-0317

Diagnostic Imaging MRI, CT, PET/CT, PSMA PET SCAN and F-18 BONE SCANS
Most healthcare plans are accepted. Visit our qualified team today!

Most healthcare plans are accepted. Visit our qualified team today!
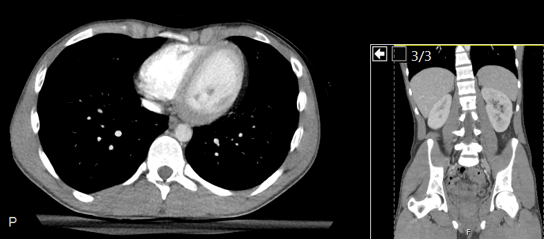
A Computerized Tomography (CT) scan combines a series of X-ray images taken from different angles around your body and uses computer processing to create cross-sectional images (slices) of the bones, blood vessels and soft tissues inside your body. CT scan images provide more-detailed information than plain X-rays.
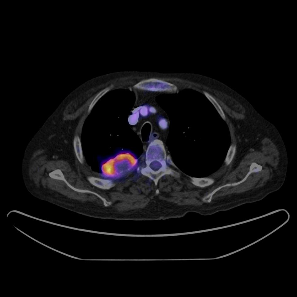
A positron emission tomography (PET) scan is an imaging test that helps reveal how your tissues and organs are functioning. A PET scan uses a radioactive drug (tracer) to show this activity. This scan can sometimes detect disease before it shows up on other imaging tests
PET/CT Bone scans use F-18 sodium fluoride, a positron-emitting radio pharmaceutical to provide physiologic information of the bone. The radio pharmaceutical is absorbed by the bone tissues at sites of high bone turnover and remodeling, indicating molecular activity and increased blood flow to those areas.
17150 Euclid St, Suite 101 Fountain Valley CA 92708
Tel: (714) 957-0317 Fax: (714) 957-0616 Email: info@ocmri.com
Open today | 08:00 am – 06:00 pm |
We use cookies to analyze website traffic and optimize your website experience. By accepting our use of cookies, your data will be aggregated with all other user data.